Вывих надколенника

Врач травматолог-ортопед, к.м.н.
Карев Дмитрий Борисович

Вывих надколенника — это травма, в результате которой надколенник (чашечка) выходит из вырезки бедренной кости за пределы коленного сустава. В настоящее время считается, что вывих надколенника происходит не только в результате травмы, но и на фоне неправильного развития вырезки бедра и взаимоотношения в пателлофеморальном суставе. С этим связывают развитие рецидивирующего вывиха.

В зависимости от направления смещения надколенника выделяют наружный (самый частый), внутренний, торсионный и вертикальный вывихи.

По клиническому течению выделяют травматический, рецидивирующий, привычный и постоянный.

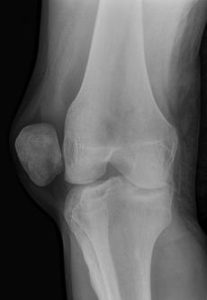
В клинических симптомах- выраженный болевой синдром в суставе и невозможность выполнять сгибание и разгибание. Любые движения вызывают резкую боль и пружинящие сопротивления. Внешне сустав выглядит «совершенно необычно», так как видны контуры мыщелков бедра и большеберцовой кости, которые в норме скрыты под надколенником.

Диагностика осуществляется по рентгенограмме в 2 проекциях, но очень часто при укладке пациента на стол в рентген кабинете, наступает спонтанное вправление надколенника и зафиксировать его в положении вывиха не удается.

Отмечены случаи вправления надколенника на месте травмы самим пациентом или людьми, оказывающими первую помощь. Как правило вправление наступает при разгибании ноги в коленном суставе. Сделать это проще в положении лежа и поднимая вверх ногу, постепенно разгибая её в колене. В этот момент надколенник возвращается в вырезку бедренной кости. Ошибка в том, что в таких ситуациях не выполняется иммобилизация на 4 недели коленного сустава, так боль сразу проходит.

В этом случае, во-первых, может развиться гемартроз, во-вторых — вывихи надколенника будут повторяться из-за повреждения фиксирующих его тканей. Поэтому всегда необходимо доставить пациента в медучреждение и наложить иммобилизацию.

При развитии рецидивирующего вывиха надколенника показано оперативное лечение. Оно включает вмешательства и реконструкцию мягких тканей, иногда костных структур. В современных условиях часть операций выполняют с помощью артроскопии.

 В любом случае показана реабилитация. Она включает ЛФК, ФТЛ и обязательно внутрисуставную инъекционную хондропротекцию, так как при вывихе страдает хрящ и развивается остеоартроз. Показано введение препаратов гиалуроновой кислоты и плазморепарация (PRP- терапия).

Тазобедренный сустав

Коленный сустав

Плечевой сустав

Локтевой сустав

Голеностопный сустав

Лучезапястный сустав

Шейный отдел позвоночника

Грудной отдел позвоночника

Поясничный отдел

Плазмотерапия Цена Запись
Плазмотерапия суставов и позвоночника 1 ед. 3 500 ₽
Плазмотерапия суставов и позвоночника 1 ед. ПРИ ОПЛАТЕ КУРСА* 3 000 ₽

* в стоимость процедуры при курсовой оплате входит: забор крови, центрифугирование, выполнение инъекционных процедур специалистом, консультация специалиста повторная (при следующих посещениях), разработка и контроль индивидуального курса ЛФК

PRP-ТЕРАПИЯ  
Введение PRP -терапия (по технологии Cortexil) 10,0 мл 8 000 ₽
Введение PRP -терапия (по технологии Cortexil) 10,0 мл ПРИ ОПЛАТЕ КУРСА* 7 500 ₽
Введение PRP -терапия (по технологии Cortexil) 20,0 мл 15 000 ₽
Введение PRP -терапия (по технологии Cortexil) 20,0 мл ПРИ ОПЛАТЕ КУРСА* 14 000 ₽
Введение PRP -терапия (по технологии АРМ) 1 ед. 12 000 ₽
Введение PRP -терапия (по технологии АРМ) 1 ед. ПРИ ОПЛАТЕ КУРСА* 11 500 ₽

* в стоимость процедуры при курсовой оплате входит: оригинальная шприц-пробирка, забор крови, центрифугирование, приготовление среды, выполнение инъекционных процедур специалистом, консультация специалиста повторная (при следующих посещениях), разработка и контроль индивидуального курса ЛФК (перечень действителен только при курсовом введении PRP)

БЛОКАДЫ СУСТАВОВ  
Блокада плечевого сустава 4 000₽
Блокада локтевого сустава 4 000₽
Блокада лучезапястного сустава 4 000₽
Блокада коленного сустава 4 000₽
Блокада тазобедренного сустава 4 000₽
Блокада голеностопного сустава 4 000₽
Блокада пяточной шпоры 4 000₽
Блокада секторальная (французская). Мезотерапия 8 000₽
Лечебная мезотерапия тела (спина, верхние и нижние конечности) 10 000₽
ПУНКЦИЯ СУСТАВА  
Пункция плечевого сустава 4 000₽
Пункция локтевого сустава 4 000₽
Пункция кисти 4 000₽
Пункция коленного сустава 4 000₽
Пункция тазобедренного сустава 4 000₽
ВНУТРИСУСТАВНЫЕ ИНЪЕКЦИИ  
Плечевой сустав 3 500₽
Локтевой сустав 3 500₽
Лучезапястный сустав 3 500₽
Тазобедренный сустав 4 000₽
Коленный сустав 3 500₽
Голеностопный сустав 3 500₽
ВВЕДЕНИЕ ПРЕПАРАТОВ ГИАЛУРОНОВОЙ КИСЛОТЫ  
Внутрисуставное введение препарата гиалуроновой кислоты плотностью 1%-1,6% (со стоимостью препарата), 1 сустав 6 500 – 12 000₽
Внутрисуставное введение препарата гиалуроновой кислоты плотностью 2,3%-2,5% (со стоимостью препарата), 1 сустав 16 000 – 25 000₽
Внутрисуставное введение препарата гиалуроновой кислоты, 1 сустав (без стоимости препарата) 6 000₽
Целлюлярный матрикс 1 сустав 15 000₽

Цены и весь ассортимент услуг уточняйте по телефону у администратора клиники. Не является публичной офертой.