
Вывих бедра (Luxatio femoris)
При высокоэнергетической травме, например, ДТП, наступает нарушение взаимоотношения головки и верлужной впадины, при котором головка разобщается с ней и уходит в сторону.
Вывих бедра занимает 4 место в структуре вывихов. Как правило встречается у пациентов от 20-50 лет, преимущественно мужского пола. При вывихе головка бедра может смещаться сзади- на долю задних вывихов приходится 80%, или впереди (передние вывихи).
Клинически вывих бедра проявляется сильнейшей болью, пациент от боли покрыт холодным потом, боль усиливается при любой попытке движения ногой.
- При заднем вывихе нога приведена в тазобедренном суставе, слегка согнута в коленном суставе с поворотом стопы кнутри.
- При переднем — нога отведена, слегка согнута в коленном суставе, сильный поворот стопы кнаружи.
Любые движения, кроме боли, встречают пружинящие сопротивления мышц.
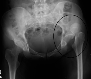
Диагностика как правило осуществляется при рентгенологическом исследовании. Вывих бедра относится к экстренной травматологии, кроме выраженной боли смещение головки бедра может сопровождаться сдавливанием сосудов и нервов, что может сказаться на жизнеспособности ноги.
Вправление осуществляют в условиях стационара, используется наркоз с миорелаксантами, чтобы снять напряжение мышц и снизить травматичность манипуляции. При вправлении вывиха оценивают стабильность в тазобедренном суставе специальным тестом, в положении сгибания в тазобедренном и коленном суставе до 90°.
Нестабильность может быть обусловлена переломом верлужной впадины или интерпозицией мягких тканей в полость сустава — это показание к операции.
При стабильном тазобедренном суставе лечение продолжают консервативное: разгрузка сустава, ЛФК, ФТЛ. Наблюдение пациента в динамике даже без каких-либо проявлений обязательно, так как после вывиха может нарушится питание головки бедра и развиться посттравматический аваскулярный некроз головки бедра, после чего сустав погибнет и потребуется эндопротезирование.
В настоящее время оправдана плазморепарация (PRP-терапия) сустава, которая обеспечивает восстановление питания всех тканей и снижает риск осложнений.
| Плазмотерапия | Цена | Запись |
| Плазмотерапия суставов и позвоночника 1 ед. | 3 500 ₽ | |
| Плазмотерапия суставов и позвоночника 1 ед. ПРИ ОПЛАТЕ КУРСА* | 3 000 ₽ |
* в стоимость процедуры при курсовой оплате входит: забор крови, центрифугирование, выполнение инъекционных процедур специалистом, консультация специалиста повторная (при следующих посещениях), разработка и контроль индивидуального курса ЛФК
| PRP-ТЕРАПИЯ | |
| Введение PRP -терапия (по технологии Cortexil) 10,0 мл | 8 000 ₽ |
| Введение PRP -терапия (по технологии Cortexil) 10,0 мл ПРИ ОПЛАТЕ КУРСА* | 7 500 ₽ |
| Введение PRP -терапия (по технологии Cortexil) 20,0 мл | 15 000 ₽ |
| Введение PRP -терапия (по технологии Cortexil) 20,0 мл ПРИ ОПЛАТЕ КУРСА* | 14 000 ₽ |
| Введение PRP -терапия (по технологии АРМ) 1 ед. | 12 000 ₽ |
| Введение PRP -терапия (по технологии АРМ) 1 ед. ПРИ ОПЛАТЕ КУРСА* | 11 500 ₽ |
* в стоимость процедуры при курсовой оплате входит: оригинальная шприц-пробирка, забор крови, центрифугирование, приготовление среды, выполнение инъекционных процедур специалистом, консультация специалиста повторная (при следующих посещениях), разработка и контроль индивидуального курса ЛФК (перечень действителен только при курсовом введении PRP)
| БЛОКАДЫ СУСТАВОВ | |
| Блокада плечевого сустава | 4 000₽ |
| Блокада локтевого сустава | 4 000₽ |
| Блокада лучезапястного сустава | 4 000₽ |
| Блокада коленного сустава | 4 000₽ |
| Блокада тазобедренного сустава | 4 000₽ |
| Блокада голеностопного сустава | 4 000₽ |
| Блокада пяточной шпоры | 4 000₽ |
| Блокада секторальная (французская). Мезотерапия | 8 000₽ |
| Лечебная мезотерапия тела (спина, верхние и нижние конечности) | 10 000₽ |
| ПУНКЦИЯ СУСТАВА | |
| Пункция плечевого сустава | 4 000₽ |
| Пункция локтевого сустава | 4 000₽ |
| Пункция кисти | 4 000₽ |
| Пункция коленного сустава | 4 000₽ |
| Пункция тазобедренного сустава | 4 000₽ |
| ВНУТРИСУСТАВНЫЕ ИНЪЕКЦИИ | |
| Плечевой сустав | 3 500₽ |
| Локтевой сустав | 3 500₽ |
| Лучезапястный сустав | 3 500₽ |
| Тазобедренный сустав | 4 000₽ |
| Коленный сустав | 3 500₽ |
| Голеностопный сустав | 3 500₽ |
| ВВЕДЕНИЕ ПРЕПАРАТОВ ГИАЛУРОНОВОЙ КИСЛОТЫ | |
| Внутрисуставное введение препарата гиалуроновой кислоты плотностью 1%-1,6% (со стоимостью препарата), 1 сустав | 6 500 – 12 000₽ |
| Внутрисуставное введение препарата гиалуроновой кислоты плотностью 2,3%-2,5% (со стоимостью препарата), 1 сустав | 16 000 – 25 000₽ |
| Внутрисуставное введение препарата гиалуроновой кислоты, 1 сустав (без стоимости препарата) | 6 000₽ |
| Целлюлярный матрикс 1 сустав | 15 000₽ |