Подагрический артрит

Врач травматолог-ортопед, к.м.н.
Карев Дмитрий Борисович

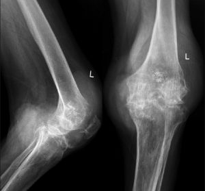
Подагрический артрит. Подагрический артрит коленного сустава возникает как проявления подагры, заболевания, при котором нарушаются обменные процессы в организме, и в тканях накапливаются соли мочевой кислоты. В синовиальной оболочке сустава они вызывают воспаление.

 Развитие подагры может быть связанно с:

  • генетической предрасположенностью;
  • нарушением функции почек;
  • нарушением гепатобилиарной системы (печени и желчевыводящих путей);
  • дерматологическими болезнями;
  • последствиями лучевой, химиотерапии или цитостатической терапии.

Спровоцировать обострение может травма коленного сустава, стресс, переохлаждение, ОРВИ, употребление спиртных напитков.

Клиническими симптомами могут быть появление отека, покраснение, боль, повышение температуры тела и местно. Иногда развивается синовит коленного сустава, который является первым симптомом подагры.

Диагноз выставляется на основании анамнеза, данных местного проявления, лабораторных исследований (повышение мочевой кислоты, признаки воспаления). Из инструментальных методов наиболее информативно МРТ, рентгенограмма, которые показывают признаки разрушения сустава при течении болезни 5-7 лет.

Лечение направлено на снятие воспаления и снижение уровня мочевой кислоты. Используют НПВС, по показаниям назначают кортикостероидные препараты (при синовите- внутрисуставные); специальная терапия метаболических нарушений, диета.

Реабилитация включает в себя ЛФК для улучшения обменных процессов в хряще.  Для  профилактики разрушения хряща возможна плазморепарация (PRP- терапия) вне обострения.

Тазобедренный сустав

Коленный сустав

Плечевой сустав

Локтевой сустав

Голеностопный сустав

Лучезапястный сустав

Шейный отдел позвоночника

Грудной отдел позвоночника

Поясничный отдел

Плазмотерапия Цена Запись
Плазмотерапия суставов и позвоночника 1 ед. 3 500 ₽
Плазмотерапия суставов и позвоночника 1 ед. ПРИ ОПЛАТЕ КУРСА* 3 000 ₽

* в стоимость процедуры при курсовой оплате входит: забор крови, центрифугирование, выполнение инъекционных процедур специалистом, консультация специалиста повторная (при следующих посещениях), разработка и контроль индивидуального курса ЛФК

PRP-ТЕРАПИЯ  
Введение PRP -терапия (по технологии Cortexil) 10,0 мл 8 000 ₽
Введение PRP -терапия (по технологии Cortexil) 10,0 мл ПРИ ОПЛАТЕ КУРСА* 7 500 ₽
Введение PRP -терапия (по технологии Cortexil) 20,0 мл 15 000 ₽
Введение PRP -терапия (по технологии Cortexil) 20,0 мл ПРИ ОПЛАТЕ КУРСА* 14 000 ₽
Введение PRP -терапия (по технологии АРМ) 1 ед. 12 000 ₽
Введение PRP -терапия (по технологии АРМ) 1 ед. ПРИ ОПЛАТЕ КУРСА* 11 500 ₽

* в стоимость процедуры при курсовой оплате входит: оригинальная шприц-пробирка, забор крови, центрифугирование, приготовление среды, выполнение инъекционных процедур специалистом, консультация специалиста повторная (при следующих посещениях), разработка и контроль индивидуального курса ЛФК (перечень действителен только при курсовом введении PRP)

БЛОКАДЫ СУСТАВОВ  
Блокада плечевого сустава 4 000₽
Блокада локтевого сустава 4 000₽
Блокада лучезапястного сустава 4 000₽
Блокада коленного сустава 4 000₽
Блокада тазобедренного сустава 4 000₽
Блокада голеностопного сустава 4 000₽
Блокада пяточной шпоры 4 000₽
Блокада секторальная (французская). Мезотерапия 8 000₽
Лечебная мезотерапия тела (спина, верхние и нижние конечности) 10 000₽
ПУНКЦИЯ СУСТАВА  
Пункция плечевого сустава 4 000₽
Пункция локтевого сустава 4 000₽
Пункция кисти 4 000₽
Пункция коленного сустава 4 000₽
Пункция тазобедренного сустава 4 000₽
ВНУТРИСУСТАВНЫЕ ИНЪЕКЦИИ  
Плечевой сустав 3 500₽
Локтевой сустав 3 500₽
Лучезапястный сустав 3 500₽
Тазобедренный сустав 4 000₽
Коленный сустав 3 500₽
Голеностопный сустав 3 500₽
ВВЕДЕНИЕ ПРЕПАРАТОВ ГИАЛУРОНОВОЙ КИСЛОТЫ  
Внутрисуставное введение препарата гиалуроновой кислоты плотностью 1%-1,6% (со стоимостью препарата), 1 сустав 6 500 – 12 000₽
Внутрисуставное введение препарата гиалуроновой кислоты плотностью 2,3%-2,5% (со стоимостью препарата), 1 сустав 16 000 – 25 000₽
Внутрисуставное введение препарата гиалуроновой кислоты, 1 сустав (без стоимости препарата) 6 000₽
Целлюлярный матрикс 1 сустав 15 000₽

Цены и весь ассортимент услуг уточняйте по телефону у администратора клиники. Не является публичной офертой.