Перелом надколенника

Врач травматолог-ортопед, к.м.н.
Карев Дмитрий Борисович

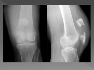
Переломы надколенника составляют до 1,5% от всех переломов коленного сустава. Чашечка надколенника — небольшая кость, и к разряду тяжелых их отнести нельзя. Но, при этих переломах часто повреждается хрящ надколенника, что может спровоцировать развитие остеоартроза коленного сустава. Механизм травмы часто прямой, но возможны и опосредованные силы тяги мышцы, отражающих надколенник.

Переломы бывают без смещения и со смещением отломков (если они расходятся более чем на 3мм, что происходит при разрыве разгибательного аппарата коленного сустава).

По расположению линии перелома выделяют поперечные, продольные, косые и оскольчатые переломы.

При переломе на всю толщину кости, обязательно повреждается суставной хрящ и такие переломы являются внутрисуставными.

Клинически перелом надколенника проявляется болью, отеком с гематомой по передней поверхности коленного сустава, иногда с гемартрозом. Пальпация резко болезненная и прощупываются отломки кости, особенно при смещении. Отмечается резко болезненное разгибание в коленном суставе.

Диагноз выставляется на основании анамнеза, данных клинического осмотра и рентгенограмм в 2 проекциях.

Лечение переломов без смещения консервативное: накладывается гипсовая повязка в положении разгибания в коленном суставе на 6 недель, затем рентген контроль и восстановительное лечение: ЛФК, ФТЛ.

При переломах со смещением выполняется операция остеосинтез, при которой обломки стабильно фиксируются спицами, проволокой и производится шов разгибательного аппарата. Прочная фиксация отломков позволяет начинать ранние движения, чтобы не развилась контрактура. Очень важным моментом при выполнении операции является анатомическое сопоставление отломков со стороны сустава (иногда контроль с помощью артроскопии). Это снижает риск развития артроза.

При оскольчатых переломах, иногда, приходится убирать часть надколенника и очень редко весь надколенник, в таких случаях выполняют реконструкцию разгибательного аппарата.

Реабилитация после перелома надколенника в любом случае требует ЛФК, ФТЛ и внутрисуставной хондропротекции: введение препаратов гиалуроновой кислоты и плазморепарация (PRP-терапия).

Тазобедренный сустав

Коленный сустав

Плечевой сустав

Локтевой сустав

Голеностопный сустав

Лучезапястный сустав

Шейный отдел позвоночника

Грудной отдел позвоночника

Поясничный отдел

Плазмотерапия Цена Запись
Плазмотерапия суставов и позвоночника 1 ед. 3 500 ₽
Плазмотерапия суставов и позвоночника 1 ед. ПРИ ОПЛАТЕ КУРСА* 3 000 ₽

* в стоимость процедуры при курсовой оплате входит: забор крови, центрифугирование, выполнение инъекционных процедур специалистом, консультация специалиста повторная (при следующих посещениях), разработка и контроль индивидуального курса ЛФК

PRP-ТЕРАПИЯ  
Введение PRP -терапия (по технологии Cortexil) 10,0 мл 8 000 ₽
Введение PRP -терапия (по технологии Cortexil) 10,0 мл ПРИ ОПЛАТЕ КУРСА* 7 500 ₽
Введение PRP -терапия (по технологии Cortexil) 20,0 мл 15 000 ₽
Введение PRP -терапия (по технологии Cortexil) 20,0 мл ПРИ ОПЛАТЕ КУРСА* 14 000 ₽
Введение PRP -терапия (по технологии АРМ) 1 ед. 12 000 ₽
Введение PRP -терапия (по технологии АРМ) 1 ед. ПРИ ОПЛАТЕ КУРСА* 11 500 ₽

* в стоимость процедуры при курсовой оплате входит: оригинальная шприц-пробирка, забор крови, центрифугирование, приготовление среды, выполнение инъекционных процедур специалистом, консультация специалиста повторная (при следующих посещениях), разработка и контроль индивидуального курса ЛФК (перечень действителен только при курсовом введении PRP)

БЛОКАДЫ СУСТАВОВ  
Блокада плечевого сустава 4 000₽
Блокада локтевого сустава 4 000₽
Блокада лучезапястного сустава 4 000₽
Блокада коленного сустава 4 000₽
Блокада тазобедренного сустава 4 000₽
Блокада голеностопного сустава 4 000₽
Блокада пяточной шпоры 4 000₽
Блокада секторальная (французская). Мезотерапия 8 000₽
Лечебная мезотерапия тела (спина, верхние и нижние конечности) 10 000₽
ПУНКЦИЯ СУСТАВА  
Пункция плечевого сустава 4 000₽
Пункция локтевого сустава 4 000₽
Пункция кисти 4 000₽
Пункция коленного сустава 4 000₽
Пункция тазобедренного сустава 4 000₽
ВНУТРИСУСТАВНЫЕ ИНЪЕКЦИИ  
Плечевой сустав 3 500₽
Локтевой сустав 3 500₽
Лучезапястный сустав 3 500₽
Тазобедренный сустав 4 000₽
Коленный сустав 3 500₽
Голеностопный сустав 3 500₽
ВВЕДЕНИЕ ПРЕПАРАТОВ ГИАЛУРОНОВОЙ КИСЛОТЫ  
Внутрисуставное введение препарата гиалуроновой кислоты плотностью 1%-1,6% (со стоимостью препарата), 1 сустав 6 500 – 12 000₽
Внутрисуставное введение препарата гиалуроновой кислоты плотностью 2,3%-2,5% (со стоимостью препарата), 1 сустав 16 000 – 25 000₽
Внутрисуставное введение препарата гиалуроновой кислоты, 1 сустав (без стоимости препарата) 6 000₽
Целлюлярный матрикс 1 сустав 15 000₽

Цены и весь ассортимент услуг уточняйте по телефону у администратора клиники. Не является публичной офертой.