Хондромаляция

Врач травматолог-ортопед, к.м.н.
Карев Дмитрий Борисович

Хондромаляция – это размягчение и разрушение хряща. Заболевание в основном развивается в коленном суставе (хондромаляция надколенника). Больше всего оно характерно для молодых людей, занимающихся спортом (в литературе существует название колено бегуна). Патология довольно распространенная среди спортсменов. Опасность данного процесса состоит в том, что если заболевание не диагностировать на ранних этапах и не провести лечение, развивается остеоартроз коленного сустава.

Причины развития хондромаляции:

  • Травмы;
  • Аномалии развития: надколенник располагается в вырезке бедренной кости, что часто приводит к нестабильности, вывихам, и травматизации хряща надколенника;
  • Физические нагрузки (особенно бег);
  • Системные нарушения соединительной ткани;
  • Эндокринные и другие метаболические нарушения в организме;
  • Длительная фиксация коленного сустава с развитием контрактуры (особенно при неправильной форсированной реабилитации).

Симптомы заболевания очень схожи с другими проблемами в коленном суставе:

  • боль;
  • дискомфорт, особенно в переднем отделе;
  • при старте бега;
  • в положении сгибания;
  • некоторые отмечают чувство «инородного тела», что под чашечкой мешает;
  • возможна припухлость, хруст.

На более поздних стадиях отмечается атрофия мышц бедра спереди (четырехглавой мышцы).

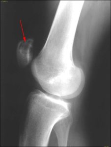
При осмотре и по жалобам выставить диагноз, и тем более степень хондромаляции, невозможно. Один характерный симптом указывает на наличие хондромаляции — это боль и дискомфорт при надавливании на надколенник, особенно при напряжении мышц и попытке сгибать ногу. Но этот симптом не является абсолютным, поэтому в диагностике этого заболевания предпочтение отдаются инструментальным методам. Рентгенограмма информативна на поздних стадиях, когда имеются признаки пателлофеморального артроза. МРТ и артроскопическая визуализация дают возможность установить диагноз на ранних стадиях, но артроскопия — это операция и она имеет свои ограничения.

 В зависимость от степени разрушения выделяют:

  • Размягчение хряща и отек;
  • Трещины и сколы хряща не более 1см;
  • Разрушение более 1см;
  • Эрозия до кости и глубже.

Лечение начинается с ограничения физической нагрузки (до минимума снижается осевая нагрузка и форсированные действия). Назначают НПВС, хондропротекторы, внутрисуставное введение гиалуроновой кислоты, плазморепарация (PRP терапия), ФТЛ (лазер, УВТ) и ЛФК, направленную на укрепления мышц бедра.

На ранних стадиях (1,2) консервативное лечение дает хорошие результаты, на поздних стадиях показана артроскопическая операция. Артроскопия дает возможность установить точный объем разрушения и позволяет выполнить большинство манипуляций во время ее проведения: иссечение разрушенного хряща, дебридмент, выполнение микроперфорации, моделирование мягких тканей и костных структур надколенника. Иногда производится частичное удаление надколенника.

Сейчас все больше используют пластику хряща участками из ненагружаемых зон сустава -мозаичная хондропластика, выращивание хряща из стволовых клеток. Из внешних операций используется перемещение бугристости большеберцовой кости для изменения биомеханики в суставе.

После любого лечения, особенно оперативного, необходима длительная реабилитация до 6 месяцев, и несколько лет (при отсутствии признаков развития остеоартроза) динамическое, ежегодное наблюдение ортопеда.

Тазобедренный сустав

Коленный сустав

Плечевой сустав

Локтевой сустав

Голеностопный сустав

Лучезапястный сустав

Шейный отдел позвоночника

Грудной отдел позвоночника

Поясничный отдел

Плазмотерапия Цена Запись
Плазмотерапия суставов и позвоночника 1 ед. 3 500 ₽
Плазмотерапия суставов и позвоночника 1 ед. ПРИ ОПЛАТЕ КУРСА* 3 000 ₽

* в стоимость процедуры при курсовой оплате входит: забор крови, центрифугирование, выполнение инъекционных процедур специалистом, консультация специалиста повторная (при следующих посещениях), разработка и контроль индивидуального курса ЛФК

PRP-ТЕРАПИЯ  
Введение PRP -терапия (по технологии Cortexil) 10,0 мл 8 000 ₽
Введение PRP -терапия (по технологии Cortexil) 10,0 мл ПРИ ОПЛАТЕ КУРСА* 7 500 ₽
Введение PRP -терапия (по технологии Cortexil) 20,0 мл 15 000 ₽
Введение PRP -терапия (по технологии Cortexil) 20,0 мл ПРИ ОПЛАТЕ КУРСА* 14 000 ₽
Введение PRP -терапия (по технологии АРМ) 1 ед. 12 000 ₽
Введение PRP -терапия (по технологии АРМ) 1 ед. ПРИ ОПЛАТЕ КУРСА* 11 500 ₽

* в стоимость процедуры при курсовой оплате входит: оригинальная шприц-пробирка, забор крови, центрифугирование, приготовление среды, выполнение инъекционных процедур специалистом, консультация специалиста повторная (при следующих посещениях), разработка и контроль индивидуального курса ЛФК (перечень действителен только при курсовом введении PRP)

БЛОКАДЫ СУСТАВОВ  
Блокада плечевого сустава 4 000₽
Блокада локтевого сустава 4 000₽
Блокада лучезапястного сустава 4 000₽
Блокада коленного сустава 4 000₽
Блокада тазобедренного сустава 4 000₽
Блокада голеностопного сустава 4 000₽
Блокада пяточной шпоры 4 000₽
Блокада секторальная (французская). Мезотерапия 8 000₽
Лечебная мезотерапия тела (спина, верхние и нижние конечности) 10 000₽
ПУНКЦИЯ СУСТАВА  
Пункция плечевого сустава 4 000₽
Пункция локтевого сустава 4 000₽
Пункция кисти 4 000₽
Пункция коленного сустава 4 000₽
Пункция тазобедренного сустава 4 000₽
ВНУТРИСУСТАВНЫЕ ИНЪЕКЦИИ  
Плечевой сустав 3 500₽
Локтевой сустав 3 500₽
Лучезапястный сустав 3 500₽
Тазобедренный сустав 4 000₽
Коленный сустав 3 500₽
Голеностопный сустав 3 500₽
ВВЕДЕНИЕ ПРЕПАРАТОВ ГИАЛУРОНОВОЙ КИСЛОТЫ  
Внутрисуставное введение препарата гиалуроновой кислоты плотностью 1%-1,6% (со стоимостью препарата), 1 сустав 6 500 – 12 000₽
Внутрисуставное введение препарата гиалуроновой кислоты плотностью 2,3%-2,5% (со стоимостью препарата), 1 сустав 16 000 – 25 000₽
Внутрисуставное введение препарата гиалуроновой кислоты, 1 сустав (без стоимости препарата) 6 000₽
Целлюлярный матрикс 1 сустав 15 000₽

Цены и весь ассортимент услуг уточняйте по телефону у администратора клиники. Не является публичной офертой.