
Фемороацетабулярный импинджмент синдром (FAI)
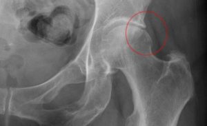
Фемороацетабулярный импинджмент синдром (FAI) — это процесс травматизации края вертлужной впадины (хрящевой губы), головки или шейки бедра, возникающий на фоне их неправильного взаимоотношения при движении в тазобедренном суставе. При этом происходит разрушение хряща в тазобедренном суставе и развивается артроз.
Фемороацетабулярный импинджмент синдром развивается на фоне пороков развития, детских болезней, травм, операций, избыточной физической нагрузки или обменных нарушений в организме.
Причиной развития этого процесса также служит дисплазия тазобедренного сустава, эллипсовидная форма головки бедренной кости, эпифизеолиз, асептический некроз головки бедра, нарушения взаимоотношения в верхней части бедренной кости, травмы тазобедренного сустава: вывихи бедра, переломы шейки бедра.
Выделяют два типа фемороацетабулярного импинджмент синдрома:
- ацетабулярный тип — когда имеется разрастание верлужной впадины в виде шипа или нароста, головка бедра при этом не изменены.
- бедренный тип — когда изменена головка или шейка бедра.
Со временем формируется смешанный тип, когда в результате постоянной травматизации изменения возникают и в верлужной впадине и в головке или шейке бедра.
Симптомы заболевания: внезапные боли в области тазобедренного сустава при крайних положениях ноги, чаще с одной стороны проявляются после длительного нахождения в сидячем положении или физической нагрузки. Боль в покое самостоятельно проходит. Локализуется в паху, по наружной и задней поверхности бедра или в пояснице.
Диагностика: осмотр, рентгенограмма, МРТ и КТ по показаниям.
Лечение: консервативное включает НПВС, ФТЛ, введение в сустав гиалуроновой кислоты и плазморепарацию (PRP- терапию) для снижения риска развития артроза. Оперативное включает отсекание края вертлужной впадины (редукция или моделирующая резекция), пластика шейки после моделирования.
| Плазмотерапия | Цена | Запись |
| Плазмотерапия суставов и позвоночника 1 ед. | 3 500 ₽ | |
| Плазмотерапия суставов и позвоночника 1 ед. ПРИ ОПЛАТЕ КУРСА* | 3 000 ₽ |
* в стоимость процедуры при курсовой оплате входит: забор крови, центрифугирование, выполнение инъекционных процедур специалистом, консультация специалиста повторная (при следующих посещениях), разработка и контроль индивидуального курса ЛФК
| PRP-ТЕРАПИЯ | |
| Введение PRP -терапия (по технологии Cortexil) 10,0 мл | 8 000 ₽ |
| Введение PRP -терапия (по технологии Cortexil) 10,0 мл ПРИ ОПЛАТЕ КУРСА* | 7 500 ₽ |
| Введение PRP -терапия (по технологии Cortexil) 20,0 мл | 15 000 ₽ |
| Введение PRP -терапия (по технологии Cortexil) 20,0 мл ПРИ ОПЛАТЕ КУРСА* | 14 000 ₽ |
| Введение PRP -терапия (по технологии АРМ) 1 ед. | 12 000 ₽ |
| Введение PRP -терапия (по технологии АРМ) 1 ед. ПРИ ОПЛАТЕ КУРСА* | 11 500 ₽ |
* в стоимость процедуры при курсовой оплате входит: оригинальная шприц-пробирка, забор крови, центрифугирование, приготовление среды, выполнение инъекционных процедур специалистом, консультация специалиста повторная (при следующих посещениях), разработка и контроль индивидуального курса ЛФК (перечень действителен только при курсовом введении PRP)
| БЛОКАДЫ СУСТАВОВ | |
| Блокада плечевого сустава | 4 000₽ |
| Блокада локтевого сустава | 4 000₽ |
| Блокада лучезапястного сустава | 4 000₽ |
| Блокада коленного сустава | 4 000₽ |
| Блокада тазобедренного сустава | 4 000₽ |
| Блокада голеностопного сустава | 4 000₽ |
| Блокада пяточной шпоры | 4 000₽ |
| Блокада секторальная (французская). Мезотерапия | 8 000₽ |
| Лечебная мезотерапия тела (спина, верхние и нижние конечности) | 10 000₽ |
| ПУНКЦИЯ СУСТАВА | |
| Пункция плечевого сустава | 4 000₽ |
| Пункция локтевого сустава | 4 000₽ |
| Пункция кисти | 4 000₽ |
| Пункция коленного сустава | 4 000₽ |
| Пункция тазобедренного сустава | 4 000₽ |
| ВНУТРИСУСТАВНЫЕ ИНЪЕКЦИИ | |
| Плечевой сустав | 3 500₽ |
| Локтевой сустав | 3 500₽ |
| Лучезапястный сустав | 3 500₽ |
| Тазобедренный сустав | 4 000₽ |
| Коленный сустав | 3 500₽ |
| Голеностопный сустав | 3 500₽ |
| ВВЕДЕНИЕ ПРЕПАРАТОВ ГИАЛУРОНОВОЙ КИСЛОТЫ | |
| Внутрисуставное введение препарата гиалуроновой кислоты плотностью 1%-1,6% (со стоимостью препарата), 1 сустав | 6 500 – 12 000₽ |
| Внутрисуставное введение препарата гиалуроновой кислоты плотностью 2,3%-2,5% (со стоимостью препарата), 1 сустав | 16 000 – 25 000₽ |
| Внутрисуставное введение препарата гиалуроновой кислоты, 1 сустав (без стоимости препарата) | 6 000₽ |
| Целлюлярный матрикс 1 сустав | 15 000₽ |